

Searching for the right orthodontics choice in Marina del Rey? Yeo Family, DMD Dental Care may have the answer! We are proud to offer Fastbraces®, an orthodontic option for both adults & children.
We want you to have that perfect smile. Contact Yeo Family, DMD Dental Care today to set up a free Fastbraces® consultation. Together, we can decide if Fastbraces is exactly what you’ve been searching for. It could be that you & Fastbraces are the perfect fit!
Fastbraces® at a Glance

1 of 5








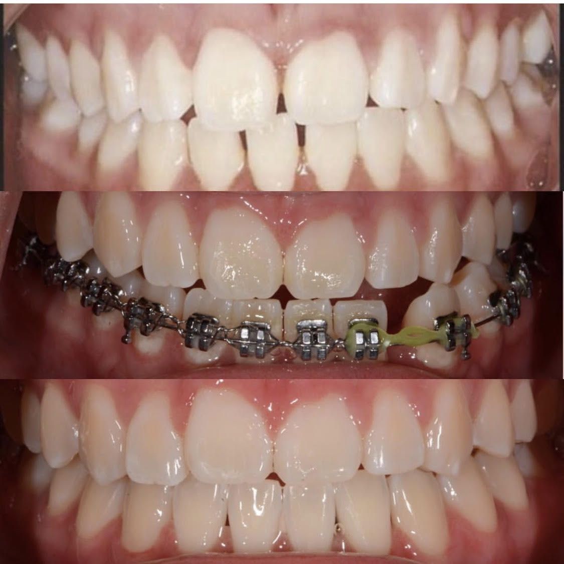
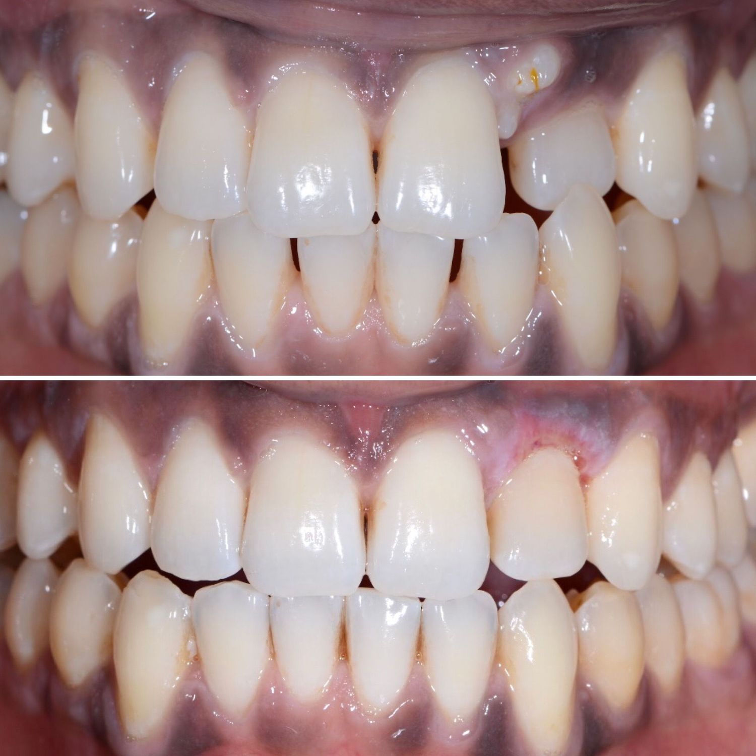
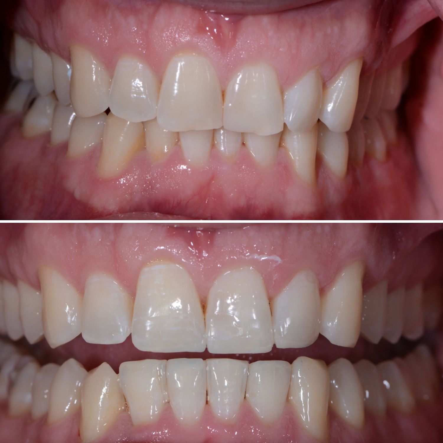
Fastbraces are an innovative orthodontic system that moves teeth roots and crowns simultaneously, significantly reducing treatment time. Dr. Yeo and Dr. Tan use this patented triangular bracket design and special heat-activated wire to efficiently align your teeth without extractions in many cases. Fastbraces offer a quicker, more comfortable alternative to traditional braces for patients seeking a straighter smile.

Fastbraces and Invisalign are both modern orthodontic treatments designed to straighten teeth, but they differ in several key aspects:
The best choice between Fastbraces and Invisalign depends on individual needs, preferences, and the specific orthodontic issues being addressed. Consultation with Dr. Jamie Yeo, DDS, and Dr. Rosita Tan, DMD is essential for making the right decision.
Fastbraces work differently than traditional braces. Ordinarily, orthodontic devices first move tooth roots & then crowns in a long, multi-step process. The unique design of Fastbraces enables us to move those roots & crowns at the same time, drastically reducing treatment time.
The Fastbraces Technology high performance bracket bracket systems allow for movement of the roots of the teeth towards their final positions from the beginning of treatment by torquing them from the very first appointment. Patients can now get results often with less sensitivity, in times measured in weeks or months rather, not years. They have been developed and tested over the past 30 years and available in multiple countries around the world. With the patented triangular design of the braces, cutting edge techniques and a special heat activated wire, this new technology is revolutionizing the field of orthodontics by now allowing both general dentists and specialists orthodontists to offer very efficient nonextraction comprehensive orthodontic treatment to their patients.

What conditions do Fastbraces address? Fastbraces at Yeo Family Dental Group effectively treat:
Dr. Yeo and Dr. Tan's expertise ensures that Fastbraces can address a wide range of orthodontic concerns, helping you achieve a beautifully aligned smile in less time.

Choosing Fastbraces at Yeo Family Dental Group offers numerous advantages:
Dr. Yeo and Dr. Tan's personalized approach ensures you receive all these benefits while achieving your ideal smile.
Fastbraces is suitable for many patients with orthodontic issues, both adults and children. Dr. Yeo and Dr. Tan will assess your oral health and discuss your smile goals to determine if Fastbraces is right for you. Ideal candidates have good oral health and are committed to following treatment instructions. Some very complex cases may require traditional orthodontics, but Dr. Yeo and Dr. Tan will explore all options with you.


While there's minimal recovery with Fastbraces, proper care ensures the best results:
Dr. Yeo and Dr. Tan will provide detailed care instructions and support you throughout your treatment.
Many patients start seeing noticeable improvements within weeks of starting Fastbraces treatment. Most treatments are completed in 3-12 months, though this varies based on individual needs. Dr. Yeo and Dr. Tan will provide a personalized timeline during your consultation.
To maintain your results long-term:
With proper care, your Fastbraces results can last a lifetime, giving you a confident, beautifully aligned smile for years.
Due to the unique technology used, most patients report less discomfort with Fastbraces than with traditional braces.
Dr. Yeo and Dr. Tan typically schedule check-ups every 3-5 weeks to monitor your progress and make necessary adjustments.
You'll need to avoid certain hard, sticky, or chewy foods that could damage the braces. Dr. Yeo and Dr. Tan will provide a comprehensive list of foods to avoid.
You may experience a brief adjustment period, but most patients adapt quickly with no lasting effects on speech.
Fastbraces are often more cost-effective due to the shorter treatment time and fewer required office visits.
