

in Marina Del Rey, CA
At Yeo Family Dental Group, we offer top-quality composite veneers to enhance your smile. Choose Yeo Family Dental Group for composite veneers that enhance your smile and boost your confidence, all with the convenience of same-day results.
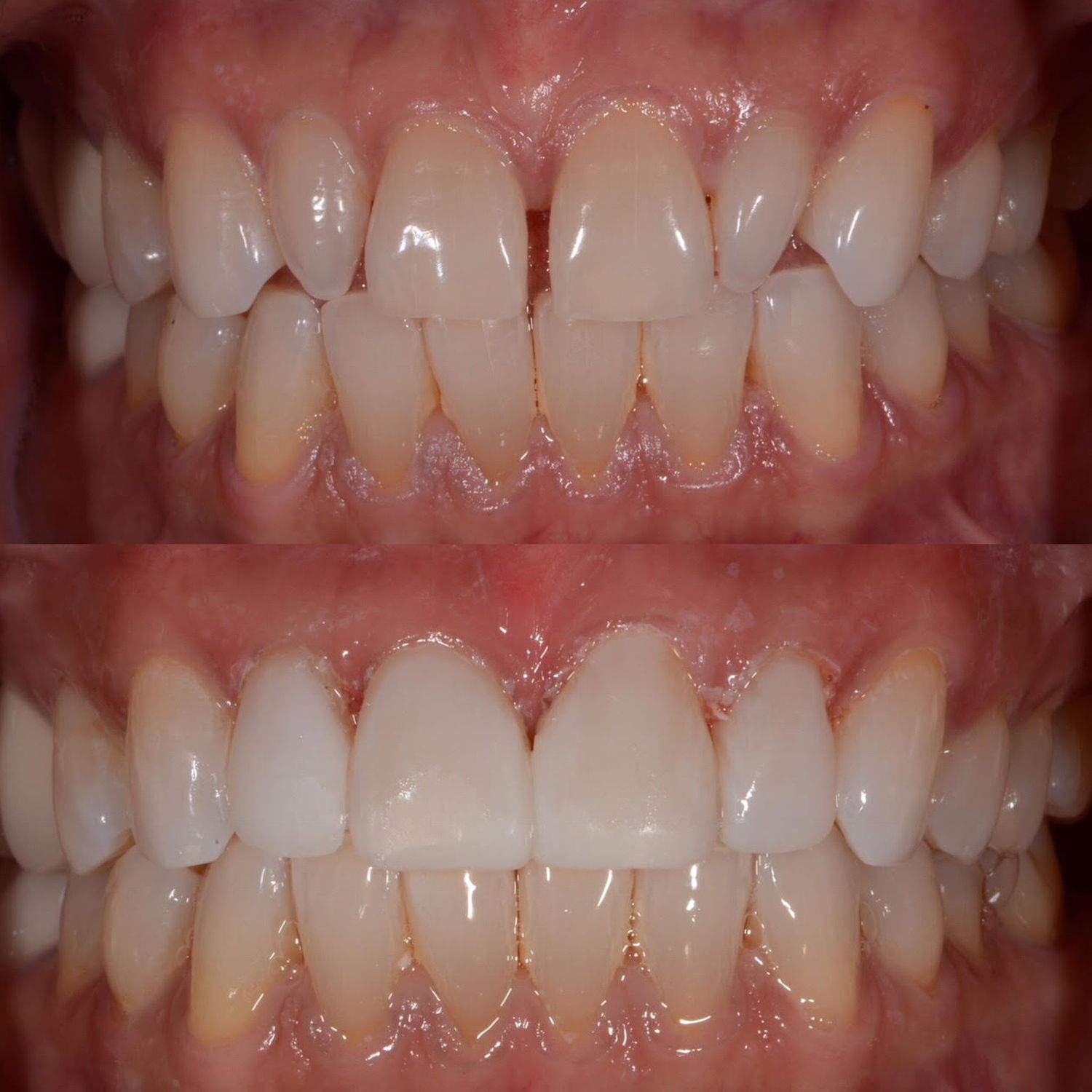
Composite Veneers at a Glance

1 of 8
Composite veneers are thin layers of tooth-colored resin material applied directly to the front surface of your teeth. They improve the appearance of your smile by changing the color, shape, size, or length of your teeth. Dr. Yeo and Dr. Tan use high-quality composite resin to create veneers that look natural and blend seamlessly with your existing teeth.
Unlike porcelain veneers, composite veneers can typically be applied in a single visit, making them an excellent choice for patients seeking quick smile improvements. They're also reversible, allowing for future treatment options if desired.

The entire process usually takes 1-2 hours, but your total appointment time will depend on the number of veneers being placed.
Consultation: Dr. Jamie or Dr. Tan will examine your teeth, discuss your goals, and determine if composite veneers are right for you.
Preparation: We'll clean your teeth and may lightly etch the surface to ensure strong bonding. Little to no removal of tooth enamel is typically needed.
Color Matching: We'll carefully select the composite shade to match your natural teeth or achieve your desired brightness.
Application: Your dentist will skillfully apply the composite resin in thin layers, shaping it to achieve the desired look.
Curing: A special light hardens each layer of composite material.
Polishing: We then trim, shape, and polish the veneers to create a natural, glossy finish.
Final Check: We'll ensure your bite is comfortable and make any necessary adjustments.
At our office in Marina Del Rey composite veneers effectively treat:
Our meticulous approach ensures each composite veneer addresses your specific dental concerns while maintaining a natural appearance.

Our team’s expertise ensures you receive all these benefits while achieving the smile you've always wanted.

Ideal candidates for composite veneers:
We will assess your oral health and discuss your cosmetic goals to determine if composite veneers are the best option.
After getting composite veneers:
We will provide personalized aftercare instructions to ensure the longevity of your composite veneers.


As soon as we have placed the composite veneers Marina Del Rey patients will see immediate results. Your new smile will be ready to showcase right after your appointment. Compound veneers typically last 5-7 years with proper care before needing replacement or touch-ups. Regular dental check-ups with Dr. Jamie or Dr. Tan will help maintain your veneers' appearance and longevity.
Unlike porcelain veneers, composite veneers can be removed without damaging your natural teeth.
Composite veneers are somewhat resistant to staining but may discolor over time. To maintain their appearance, avoid staining foods and beverages.
Unlike natural teeth, composite veneers cannot be whitened. If you're considering teeth whitening, do it before getting veneers.
Composite veneers are more affordable and can be completed in one visit, but they're less durable and stain-resistant than porcelain veneers.